——研究背景——
帕金森病(PD)是世界上第二常见的神经退行性疾病,但目前尚未有基于PD致病机理发展出的有效疗法。多种证据表明线粒体功能障碍是PD神经元的重要特征之一。负责线粒体质量控制的PINK1/Parkin通路基因的突变亦是遗传性PD最常见的形式。PINK1是一种泛素激酶,Parkin是一种E3连接酶,两者共同负责在细胞内标记受损线粒体。这些受损线粒体后续会被线粒体自噬(mitophagy)清除。激活PINK1/Parkin通路介导的线粒体自噬被认为是治疗PD的潜在疗法之一,目前已有几种相应的小分子激活剂被报道。其中进展最快的是Abbvie的化合物ABBV1088,为先前报道的PINK1激活剂MTK458的衍生物。ABBV1088于2024年9月在美国启动I期临床试验,预计将于近期报道临床实验的最新进展。
最近,来自加州理工学院的研究团队鉴定了一种全新的Parkin激活剂FB231,并系统探索了几种不同的PINK1/Parkin通路激活剂的作用机制和细胞生物学效应,从而展望了相应治疗策略的前景和潜在问题。相关研究发表在Science Advances上1。
——主要结果——
Parkin激活剂FB231的发现
在之前的工作中,作者团队采用基于SPR的高通量筛选方法鉴定到了Parkin激活剂CMPD001,EC50约为3.9 μM2。作者进一步设计了一种Parkin蛋白的体外测活方法,利用乙烯基砜修饰的泛素探针对活性Parkin进行修饰,并使用时间分辨的FRET(TR-FRET)技术定量Parkin活性。他们对CMPD001的活性和药代性质进行了优化,并用此测活方法表征了化合物的活性。在改造过后的化合物中,FB231表现出了最理想的药代性质,尽管其对Parkin的激活效果相比CMPD001略微下降。
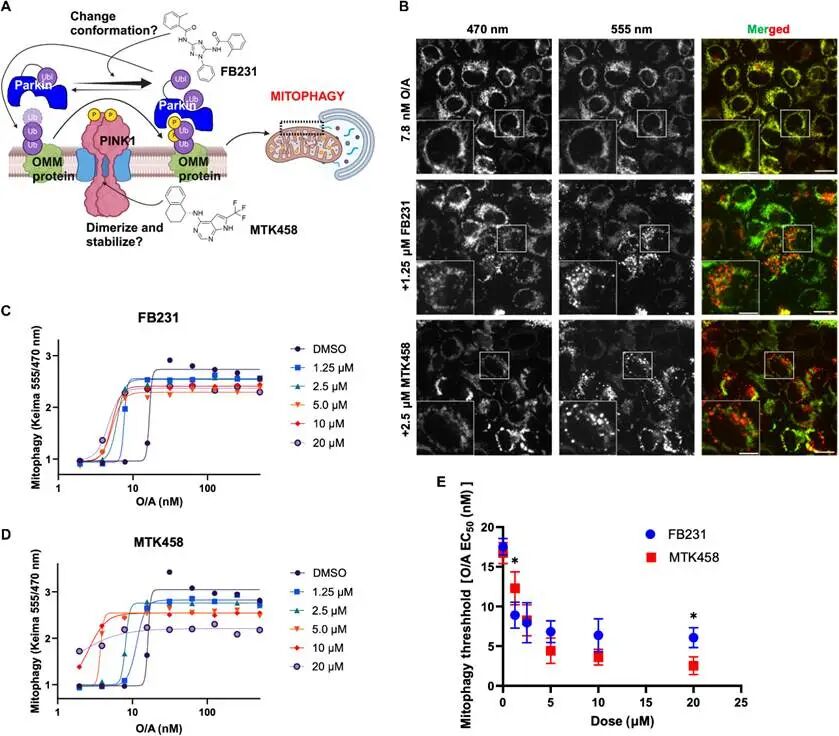
接下来作者采用mtKeima荧光蛋白来表征给药以后线粒体自噬的强度。mtKeima是一种在线粒体表面定位的pH敏感的荧光探针,在细胞质中和溶酶体中具有不同的激发波长,因此可以用于表征线粒体自噬的强度。作者发现在HeLa细胞被寡霉素/抗霉素(O/A)刺激时,FB231可以明显地激活线粒体自噬(图1B)。接下来他们定量了FB231对细胞应对O/A刺激敏感程度的影响。FB231将O/A引发线粒体自噬的EC50从16.6 nM降低到约5 nM;作为对比,MTK458能够将O/A的EC50最低降低至1.7 nM,表现出更高的激活效果(图1 C-E)。当不外加O/A刺激线粒体时,两种化合物则都不能表现出活性。

图1 FB231和MTK458能够提高细胞对O/A刺激的敏感程度
值得注意的是,作者发现FB231在体外实验中对Parkin自身的泛素化没有激活效果,然而在细胞实验中的表现则与PINK1激活剂MTK458相似,因此作者推测FB231可能以某种诱导Parkin构象变化的方式调控Parkin活性,并决定进一步研究FB231的作用机制和生物学效应。
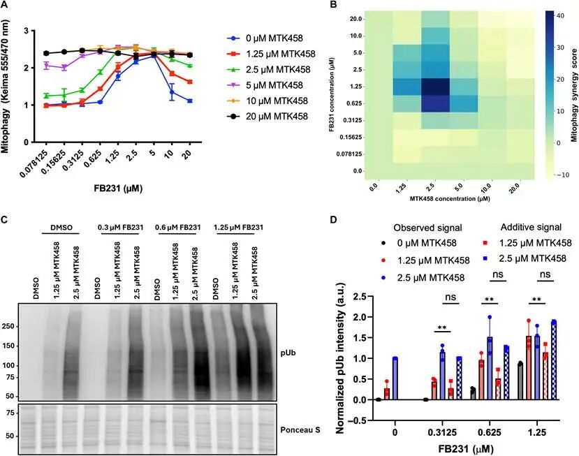
FB231和MTK458对线粒体自噬的激活具有协同效应
作者首先在10 nM O/A条件下在过表达Parkin的HeLa细胞中表征了两种化合物对PINK1和Parkin的激活效果。10 nM的O/A本身不足以引发任何线粒体自噬,但是足够引发两种化合物对线粒体自噬的激活效果。FB231在该实验条件下表现出比MTK458更强的激活效果,EC50为0.67 μM。进一步地,作者在表达内源Parkin的SH-SY5Y细胞系中,通过表征细胞内的pUb含量及Parkin磷酸化水平,证实了两种化合物对自噬的激活作用,并通过PINK1敲除实验证明了两种化合物对线粒体自噬的刺激依赖于PINK1/Parkin信号通路。
鉴于FB231和MTK458靶向PINK1/Parkin通路中的不同环节,作者探索了这两种化合物是否具有潜在的联用可能。通过对剂量组合进行筛选,并使用ZIP模型计算药物联用效果,发现当FB231浓度在0.625-1.25 μM,MTK458浓度在2.5 μM附近时两者具有明显的协同效果(图2B),对pUb积累水平的表征也较好地证明了相应浓度下两种化合物的协同效应(图2C,D)

图2 FB231和MTK458在一定浓度下表现出协同效应
蛋白质组学揭示FB231在细胞内的脱靶效应
作者首先使用了在线粒体自噬研究中常用的FKBP-FRB系统将Parkin定位到线粒体表面,并发现在此时FB231不能仍激活自噬,这表明FB231本身不足以引发线粒体自噬,与Parkin是否定位在线粒体无关。
在先前的细胞实验中,作者注意到FB231在20 μM浓度下对线粒体自噬有明显的抑制效果,而MTK458本身在SH-SY5Y细胞中能够略微激活线粒体自噬。这促使作者转向研究这两种化合物是否通过潜在脱靶效应调控了线粒体自噬。通过无标记的全细胞蛋白质组分析,作者发现FB231处理会导致细胞内整合应激反应(ISR)信号和铁相关信号通路的蛋白表达变化(图3B)。HeLa细胞实验验证了高浓度FB231对ISR的激活现象。有趣的是,MTK458和O/A处理的细胞中同样观察到了ISR的增强。进一步的实验表明使用FB231处理HeLa细胞能够促使全长PINK1的稳定(图3C)。为了探索ISR信号与PINK1稳定之间的联系,作者测试了FB231和MTK458与ISR信号和线粒体自噬强度的剂量依赖关系。结果表明,FB231/MTK458在O/A存在时能够以不依赖于PINK1/Parkin的方式诱导线粒体应激,包括动力蛋白OPA1的裂解、ISR相关蛋白ATF4/ATF3水平升高等(图3 D-I)。在SH-SY5Y细胞中用MTK458或FB231联合O/A处理同样可以增强相应标志物的水平(图3 J、K)。此外,作者发现这些化合物在低于激活线粒体自噬的浓度下就会导致ISR激活,从而造成可能的线粒体应激现象。作者进一步针对FB231/MTK458对DELE1-HRI-eIF2A这条线粒体应激-ISR信号通路的影响进行了研究。当线粒体受到刺激时,稳定在线粒体表面的DELE1可以激活细胞质中的HRI磷酸化eIF2A,从而激活ISR。结果表明FB231/MTK458同样能以不依赖于PINK1/Parkin的方式通过DELE1-HRI-eIF2A通路激活ISR。有趣的是,敲除HRI减弱了ISR,但是对FB231激活的线粒体自噬没有影响。这也说明了FB231所诱导的这两种现象在分子水平上是分离的,从而证实了FB231的脱靶效应导致细胞的应激反应,并可能具有潜在的线粒体毒性。

图3 基于无标记蛋白组学手段鉴定到FB231和MTK458对ISR的脱靶效应
接下来作者用热蛋白质组分析(TPP)研究了化合物对ISR的直接靶点。值得注意的是,TPP实验没有鉴定到FB231和MTK458在胞内与PINK1或者Parkin的结合,尽管原始文献中报道了MTK458与PINK1在细胞内基于nanoBRET的结合实验3。FB231在细胞内的潜在靶标包括E3连接酶HERC4、铁反应蛋白IREB2等(图4 A-C)。作者注意到FB231以剂量依赖的方式诱导了IREB2蛋白水平上调,并通过体外的螯合实验证明FB231可以作为铁螯合剂(图4 D)。由此,作者猜测FB231可能起到铁螯合剂的作用,由于细胞内的铁损失导致FECH丢失、IREB2水平上调,进而增强了线粒体自噬。回补实验结果表明在培养基中补充Fe (II)阻断了FB231激活的线粒体自噬,并且Fe (II)螯合剂去铁素亦能以与PINK1/Parkin无关的方式增强线粒体自噬(图4 E、F)。总结来说,这些实验结果表明FB231对线粒体自噬的激活是通过影响细胞内铁水平实现的,很大程度上与PINK1/Parkin活性无关,从而论证了FB231脱靶效应的分子基础。

图4 FB231在胞内主要以铁螯合机制诱导线粒体自噬
MTK458和FB231对线粒体功能和细胞活性的影响
前述工作揭示了FB231影响线粒体自噬的机制,然而在无标记蛋白质组学实验和TPP实验中均中未能鉴定到MTK458主要影响的信号通路。鉴于MTK458能在SH-SY5Y细胞中微弱激活线粒体自噬,并且同样能够激活ISR,作者推测MTK458可能具有潜在的线粒体毒性。MTK458对细胞的氧化磷酸化水平有明显影响,造成OCR/ECAR比值降低(图5 A-C)。MTK458会降低细胞对寡霉素的敏感性,但不影响细胞对FCCP、鱼藤酮等的敏感性(图5 D)。MTK458的开发团队报道该化合物在低浓度下对OCR无明显影响3,然而本文作者指出开发团队仅测试了给药20分钟后的效果,在给药约2小时后OCR下降明显,说明MTK458的潜在毒性未被原始文献重视。
同样地,作者评估了FB231对线粒体功能的影响。与MTK458不同,FB231对OCR无明显影响,并且会减弱细胞对寡霉素和FCCP的相应(图5 A-D)。作者进一步比较了两种化合物对线粒体膜电位(MMP)的影响。FB231几乎不影响MMP,但是MTK458处理会导致MMP出现明显的超极化(图5 E)。根据这些实验结果,作者推测MTK458可能对线粒体的ATP合酶具有抑制效果,而FB231通过铁螯合导致电子泄露。
最后,作者评估了这些化合物诱导的线粒体自噬是否有利于细胞存活。将两种分子分别与O/A进行联用都会降低O/A的IC50;当化合物浓度为2.5 μM时,O/A的IC50均会从60 nM降低到20 nM以下。用半乳糖培养细胞会进一步提高细胞对MTK458的敏感性,导致细胞活性进一步下降,并且敲除PINK1对该结果没有影响,证明MTK458在此条件下加强了O/A的线粒体毒性。而FB231的毒性则不受半乳糖的影响,与去铁素的表现接近。这些结果表明MTK458和FB231都具有潜在的线粒体毒性,但机制不同:MTK458的毒性来源于线粒体功能障碍,FB231的毒性来源于铁螯合造成的电子泄露。最重要的是,两者诱导的线粒体自噬与PINK1/Parkin通路无关,且在线粒体压力条件下可能会降低细胞活力。

图5 MTK458和FB231通过不同的方式影响线粒体功能
——总结——
PINK1/Parkin激活剂的临床目标是创造PD的疾病改善治疗方法。将这些化合物进行临床转化的一个关键方面是特异性地靶向PINK1/Parkin通路而不产生脱靶效应。本工作指出体外方法产生的分子仍可能通过弱线粒体毒性在细胞实验中产生迷惑性的结果。PINK1/Parkin通路具有稳健的“开-关”动力学行为,以避免线粒体自噬对线粒体功能轻微波动的过度响应。本工作提出FB231、MTK458等化合物具有一定的线粒体毒性,对线粒体自噬的激活作用是独立于PINK1和Parkin存在的。这也为最近一些与MTK458及其先导化合物Kinetin作用机制存在矛盾的工作4, 5提供了支撑。
作者还指出,由于线粒体毒素已被证明与PD的发展相关,MTK458等化合物在临床上是否对PD有用值得怀疑。基于MTK458发展而来的化合物ABBV1088已经开始I期临床测试。我们可以关注ABBV1088的研发是否已经注意到MTK458的潜在毒性并进行优化,以及靶向PINK1/Parkin的小分子激活剂是否具有真正的医学价值。
参考文献
[1] Rosencrans, W. M., et al. Putative PINK1/Parkin activators lower the threshold for mitophagy by sensitizing cells to mitochondrial stress. Sci. Adv.2025, 11, eady0240.

内容中包含的图片若涉及版权问题,请及时与我们联系删除


评论
沙发等你来抢