
为充分发挥高等学校作为基础研究主力军、重大科研突破策源地的作用,激发师生创新活力和创新自信,营造勇于创新的学术氛围,提升学术影响力,清华大学组织开展2025年清华大学最受师生关注的年度亮点成果(以下简称“亮点成果”)评选活动。经过院系推荐、校学术委员会分组评选,以下16个成果进入线上师生投票环节,成果展示顺序按成果第一完成人的姓氏拼音排序,诚挚邀请您为关注的成果投票!
投票方式:
请选出您认为最具突破性和创新性的10项成果,并在文末参与问卷星投票。
投票时间:
2025年12月10日-17日
01
在百比特量子芯片上实现新奇量子物态
交叉信息研究院邓东灵团队
成果简介:
对称性保护的拓扑边缘态通常仅存在于零温基态附近,一旦处于有限温度环境,便容易因热激发而失稳,造成量子信息丢失。如何在热扰动下有效保护拓扑边缘态,是凝聚态物理和量子信息领域的重要课题。交叉信息研究院邓东灵团队与合作者提出了基于“预热化机制”的保护方案,在百比特超导量子芯片上实现了稳定的新型有限温度拓扑边缘态,并进一步利用这种稳健的拓扑边缘态编码制备了逻辑贝尔态。该方案无需引入无序,而是依靠系统内部涌现的对称性,为拓扑边缘态提供额外的保护,从而抑制其与热激发之间的相互作用。
推荐理由:
该研究建立了一种可行的数字模拟方法,为在有限温度下探索拓扑物质提供了新的实验手段。此外,它还展示了在无序系统中实现长寿命、鲁棒边界量子比特的潜在途径,为构建抗噪声的量子存储与操控技术提供了新道路。

有限温度拓扑边缘态示意图
02
亚埃米级光谱成像芯片“玉衡”
电子工程系方璐团队
成果简介:
光谱是解析物质与宇宙的“光学密钥”,传统光谱成像长期受制于分辨率与通量的固有矛盾。方璐团队首创了可重构计算光学成像架构,挖掘随机干涉掩膜与铌酸锂电光可调特性,研制了高分辨快照光谱成像芯片“玉衡”。“玉衡” 芯片攻克了光谱成像系统的分辨率、通量与集成度难题,仅约2cm × 2cm × 0.5cm,在400–1000nm宽光谱范围,实现了亚埃米级光谱分辨率、千万像素级空间分辨率,并具备88Hz 快照成像能力,可广泛应用于生命健康、机器智能、天文观测等领域,有望将银河系恒星光谱巡天周期从数千年缩短至十年内。相关研究发表于《自然》。
推荐理由:
首创了可重构计算光学成像架构,研制了亚埃米级快照光谱成像芯片“玉衡”,突破了传统光谱成像分辨率与通量的长期矛盾,为高分辨高效光谱成像探索了新路径,在生命健康、机器智能、天文科学等领域应用前景广阔。

亚埃米级光谱成像芯片“玉衡”
03
全球土壤重金属污染与健康风险研究
环境学院侯德义团队
成果简介:
本成果基于全球79.6万个土壤样点数据,融合大数据分析与机器学习算法,系统揭示了全球尺度土壤重金属污染的时空分布格局及形成机制,首次发现并界定了气候-地形-人类活动多重作用下形成的横贯欧亚中低纬度超大型“全球重金属富集廊道”,定量评估结果显示全球约14%-17%的农田土壤存在重金属超标,约9亿-14亿人口面临潜在健康威胁。该成果以长文形式发表于《科学》,对全球土壤污染防控和可持续农业发展具有重大科学意义。
推荐理由:
该成果以首创视角揭示了全球土壤重金属污染时空格局与形成机制,绘制了首张全球土壤有毒金属污染分布图,是我国土壤污染研究领域首篇发表于《科学》的科研论文,为全球土壤环境治理与可持续发展提供了重要科学支撑。

全球农田土壤重金属污染分布图与亚欧大陆重金属富集廊道
04
重塑自激活NLR使植物广谱抗病
生命科学学院刘玉乐团队
成果简介:
刘玉乐团队开创性地提出并建立了一种简单高效的人工设计植物抗病基因的全新策略,在模式植物和重要作物大豆中成功验证,可使植物对多种病毒完全免疫,有望成为植物抗病毒、细菌、真菌、线虫等病虫害的通用策略。相比现有方法,该策略具有多重优势:构建简单,仅需改造单个NLR基因;可针对不同病原进行定制化设计;抗性广谱持久且抗性强、难以被病原突破;具有高度普适性,适用于所有作物,并可与基因组编辑技术结合,编辑植物内源NLR基因使植物广谱抗病。研究成果发表于《自然》。
推荐理由:
该成果开创性地提出并实现基于自激活NLR的全新抗病基因设计策略,具有显著的原创性与重大突破性,并在模式植物和大豆中成功验证,实现植物对多种病原的广谱、持久和完全免疫。该研究为作物抗病育种提供了革命性技术路径,具有重大科学意义与应用前景。

转定制抗病基因的大豆抗大豆花叶病毒(SMV)
WT为野生型大豆,2-T1为转基因大豆
05
AI赋能多源遥感大数据时空融合
水利水电工程系龙笛团队
成果简介:
遥感水文界长期存在“时间–空间”权衡瓶颈,限制高分辨率、大范围的水文要素连续监测。龙笛团队突破传统局限,构建了融合海量数据与强先验信息的完备体系,提出多源遥感大数据时空融合可扩展框架,将最先进的湖泊遥感监测时空覆盖率由66%提升至近100%,揭示了季节性是主导全球湖泊动态的核心机制,修正了局限于多年趋势、认为季节性主导是局部现象的认知误区。成果发表于《自然》,引领了AI赋能遥感大数据的研究新范式,代表了学科的智能化、融合化发展方向,具有重要社会价值,可为我国新时代水文监测提供技术支撑。
推荐理由:
该成果突破了遥感水文的“时间–空间”权衡瓶颈,提出了多源遥感大数据时空融合框架,实现了迄今为止时空分辨率最高、覆盖范围最广、连续性最强的全球湖泊动态监测,有望将我国水文监测水平提升至新高度。

AI赋能多源异构遥感大数据时空融合,揭示季节性在全球湖泊动态中的主导地位
06
问勇-昆仑戍边报国卫士群像
美术学院马文甲团队
成果简介:
雕塑作品以陈祥榕烈士为原型,融汇爱国主义精神与纪念性艺术语言,形成前景人物与昆仑山体相结合的立体叙事结构,艺术感染力强。创作历时六个月,涵盖草图、数字建模、泥塑放大、铸铜、石雕、安装等全流程,运用数字扫描与预览技术,探索科技赋能艺术的新路径,充分展现高校艺术创研的系统性与专业性。团队坚持“创研成果育人”,由辅导员带领学生党员和青年创作者共同完成,体现思想政治教育与艺术实践融合的育人实效。作品获新华社等主流媒体报道,社会影响广泛,是以艺术实践服务思政育人、传播当代爱国主义精神的典型成果。
推荐理由:
该成果以爱国主义为主题,运用青铜与砂岩材质对比,结合数字技术,展现了陈祥榕烈士的英雄形象与“问勇”精神,不仅在艺术表现上具有高度的庄重感与象征力,还通过艺术创作与思政教育相结合的方式,探索了高校思政教育的新模式,实现了思想引领与艺术创造的双重价值。

问勇-昆仑戍边报国卫士群像
07
高氢原子经济性的合成气制烯烃
化学工程系骞伟中团队
成果简介:
本成果面向合成气一步法制备烯烃技术这一近年来国际上新兴的催化技术路线,开发了新型核壳催化剂,原位耦合水煤气变换与合成气制烯烃功能,将过程中产生的水原位转化为氢气,从而将目的产品的氢原子经济性提高至66%-86%,远超传统路线的理论氢原子经济性(50%)及实际数值(43%-47%),并实现了一氧化碳高转化率与烯烃高选择性的多目标协同。比传统路线的总蒸汽消耗量降低、总废水生成量与总CO2排放量显著降低,完全环境因子降低了46%。该技术有望显著推进我国合成气利用和先进煤化工等技术的绿色转型进程,并为可再生绿色氢气的高效利用创造了条件。研究成果发表于《科学》。
推荐理由:
合成气制烯烃是我国“十四五”大力发展的颠覆性化工技术。该团队巧妙地将水煤气变换与合成气制烯烃功能耦合,实现了高转化率、高产品收率、低废水与低CO2排放等多目标协同,并可通过可再生电力制造绿色氢气,降低生产成本,促进其实现规模化应用。

提高合成气制烯烃的氢原子经济性的催化剂结构
08
第三类磁性材料—交错磁体的晶格指纹特征
材料学院宋成团队
成果简介:
铁磁和反铁磁的特征一直以来被认为是泾渭分明的,而交错磁体兼具了铁磁和反铁磁的双重特征和优势,其独特的晶体对称性是产生交错自旋劈裂和使交错磁体区别于传统磁体的物理根源。然而,与自旋指纹被广泛研究相比,对交错磁体的晶格维度指纹特征的揭示和操控始终未能实现。宋成团队开发出室温交错磁体CrSb,利用晶格畸变引发磁空间群的切换,进而操控读出信号和写入模式;提出了交错磁序全电学翻转的理论判据,利用独特的晶体对称性取代了外磁场,突破了全电学读写技术。本成果首次揭示了“交错磁序=自旋(奈尔矢量)×晶体对称性”,为推动交错磁体成为独立于铁磁和反铁磁的第三类磁体提供了关键的实验证据。研究成果发表于《自然》。
推荐理由:
在以铁磁和反铁磁为代表的常规磁体中,磁矩补偿和自旋劈裂是无法兼容的。交错磁体打破了这一认知,兼具两者优势,成为发展新一代磁存储的理想材料。该成果聚焦交错磁体的物理根源和晶格维度指纹特征的揭示和操控,为推动交错磁体成为第三类磁性材料独立门类和发展新型信息存储奠定了坚实基础。

第三类磁体—交错磁体的晶格指纹特征。使交错磁体区别于反铁磁的物理根源是其独特的晶体对称性。操控晶体对称性,实现了交错磁序的重构和读出信号的产生。
09
自旋构型调制的反铁磁量子反常霍尔效应
物理系王亚愚团队
成果简介:
MnBi2Te4作为首个同时具有二维结构、本征反铁磁序与能带拓扑性的材料,引起凝聚态物理领域的广泛关注。王亚愚团队和其他团队此前的研究已经观测到新奇的量子态,但器件质量欠佳制约进一步系统深入的研究。王亚愚、张金松团队历经5年攻关,在单晶生长、器件制备和表征等方面做出大量探索,大幅改善器件质量与可重复性。在7层MnBi2Te4器件中,团队成功获得零场量子化霍尔电阻平台,系统揭示二维反铁磁体系特有的多种自旋构型对拓扑输运的调制作用,并发现面内磁场可增强量子反常霍尔效应的矫顽场与量子化水平,为拓扑量子相变和器件应用研究带来新的启示。研究成果发表于《自然》。
推荐理由:
该工作为磁性拓扑绝缘体领域突破性成果,明确AlOx覆盖层的关键作用,揭示自旋构型对量子反常霍尔效应的影响,首次发现面内磁场增强量子反常霍尔效应的新现象。研究突破实验瓶颈、拓展研究参数空间,为拓扑反铁磁自旋电子学应用奠定关键基础,彰显国际领先科研水准。

(a) MnBi2Te4的晶体结构。(b) 引入氧化铝薄膜的输运器件构型示意图。(c) 不同温度下,霍尔电阻和纵向电阻随磁场系统变化的实验数据。(d) (e) 根据c图绘制的霍尔电阻率及其导数随磁场的彩色图谱,展示了与输运数据对应的丰富自旋构型。
10
以存换算:高性能大模型推理系统
计算机科学与技术系武永卫团队
成果简介:
团队立足系统软件层面的原始创新,提出了“全系统协同”与“以存换算”的大模型推理设计思想,为解决大模型算力难题贡献了重要的“中国方案”。团队攻克了显存墙与传输墙等关键技术瓶颈,与头部企业联合研制了Mooncake、KTransformers等高性能推理系统。该成果大幅提升了推理吞吐量并降低了稀疏模型部署门槛,获系统领域顶级会议FAST 2025最佳论文奖和存储领域全球性大奖“奥林帕斯奖”。目前,相关核心技术已开源(Github社区星标超2万),并被国内多家头部互联网与AI企业采用,在数万张GPU算力集群上实现规模化落地,支撑了万亿参数级模型的超大规模服务。
推荐理由:
该成果紧扣人工智能产业降本增效的需求,在异构计算与存储架构领域取得了突破性进展,不仅在行业龙头企业的生产环境中经过了万卡级别的实战检验,更形成了具有国际竞争力的自主技术体系。该成果与国际主流开源框架及顶尖硬件厂商方案并跑,荣获存储领域全球性大奖及顶级学术会议认可,体现了我国在AI基础软件设施领域的自主创新能力与广泛的产业影响力。

以存换算思想在大模型推理中的落地
11
构建包容、普惠的全球人工智能治理体系:现实挑战与对策建议
公共管理学院薛澜、梁正团队
成果简介:
本成果为《人民论坛·学术前沿》特邀文章,“二十四个重大问题研究”之一,从理念倡导、议程设置、多边合作、行动示范四个方面,提出构建包容、普惠的全球人工智能治理体系对策建议,有力支撑了包括中国参与巴黎AI行动峰会、中美人工智能对话等重要工作,以及《人工智能全球治理行动计划》《“人工智能+”国际合作倡议》等重要文件起草。本研究既是从新兴技术与全球治理理论角度出发对人工智能国际治理框架体系构建的整合性尝试,也是基于团队及所在机构长期参与人工智能国际治理实践的规律性总结。
推荐理由:
基于该研究成果和相关工作,完成人所在机构荣膺全球首个联合国教科文组织AI伦理科研奖,彰显我校在人工智能治理领域的国际引领力。开创性构建学术研究与政策影响的协同机制,为全球人工智能治理贡献中国方案,提升了我校学科声誉和国际话语权。

基于本成果,薛澜教授团队获首届“联合国教科文组织—乌兹别克斯坦比鲁尼人工智能伦理问题科学研究奖”。
12
晶圆级AI芯片
集成电路学院尹首一团队
成果简介:
在算力成为国家战略性资源的时代背景下,团队立足中国国情,研制了晶圆级大尺寸高算力芯片样机,并提出了国际首个晶圆尺度大芯片计算与集成架构方法学。该成果打通了从计算架构、互连体系到先进集成的完整技术链条,并验证了在国内低世代工艺条件下替代先进工艺算力芯片的全流程可行性。依托这一原创方法学,团队与国内多个集成电路龙头企业深度合作,形成了可复用的晶圆级PDK,推动关键工艺参数和设计规则首次落地产品线,标志着我国在大芯片互连、封装与制造环节具备系统化技术能力,为中国未来的高算力体系建设提供了全新的技术路线与产业基础支撑。
推荐理由:
该成果紧扣国家战略需求,围绕人工智能算力与先进工艺受限等重大问题取得了标志性创新进展。成果在关键技术攻关、体系化方案构建和工程验证方面成效显著,是我国算力提升在短时间内“立即起效”的有效路线,对提升我国核心芯片自主创新能力具有重要意义。

晶圆级芯片样机
13
高维稀疏波的稳定性
数学科学系于品 等
成果简介:
数学科学系于品与华南师范大学罗天文在高维气体动力学数学理论中取得突破,其系列论文发表于《数学年刊》。本研究首次对高维可压缩Euler方程中的稀疏波进行了系统严格的数学分析,证明了经典黎曼问题在双族稀疏波区域的非线性结构稳定性,填补了该领域长期理论空白。研究创新性地运用微分几何工具,刻画气体中声音传播的几何结构。该工作推动了分析与几何在偏微分方程研究中的深度交叉,为理解高维可压缩Euler方程提供了新视角和强有力工具,对流体数学理论发展具有重要奠基意义。
推荐理由:
于品和罗天文在高维气体动力学数学理论成果斐然。其系列论文创新运用微分几何工具,填补领域空白,推动学科交叉,为流体数学理论发展奠基。本次2篇背靠背系列文章在数学四大顶刊的《数学年刊》的正式发表,是国内机构首次独立在数学四大顶刊上同一期连发两文。

稀疏波的传播
14
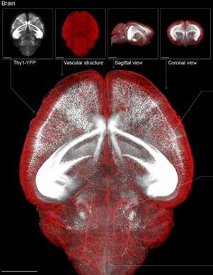
VIVIT:基于离子液体的组织透明化与跨尺度三维成像技术
生物医学工程学院苑克鑫团队
成果简介:
团队首创VIVIT组织透明化技术,基于离子液体,实现低温下生物组织的“玻璃态”转化,同时突破了组织形变、冰晶损伤和荧光衰减这三个组织透明化领域的长期瓶颈。该技术支持从全器官到亚细胞结构的跨尺度三维成像与重建,成功揭示高阶丘脑神经元突触输入与全脑投射的精确对应,发现人类皮层锥体神经元上抑制性突触的空间分布新规律。成果发表于《细胞》,并获 Nature Methods 专文推荐,强调其在“无形变”透明化上的开创性突破。该成果也已入选2025年度中国神经科学学会重大进展。
推荐理由:
该成果运用的化学原理完全独立于传统组织透明化技术,具有高度原创性,不仅为空间组学与三维结构组学开辟了新路径,也将为药物研发、精准医学等应用提供支撑,在包括脑科学在内的广泛生命医学领域具有应用潜力,推动其进入真正的三维时代。

VIVIT:基于离子液体的组织透明化与跨尺度三维成像技术
15
面向高能量密度固态电池的聚合物电解质
化学工程系张强团队
成果简介:
固态电池作为下一代储能技术的核心方向,在电动汽车、低空经济、人形机器人等前沿领域具有重要的战略价值和广阔的应用前景。团队针对固态电池界面阻抗大、电化学窗口窄两大难题,创新提出阴离子溶剂化结构调控策略,研制出氟聚醚基聚合物电解质。该电解质通过分子设计构建阴离子富集结构,在正负极表面自发形成富氟化物保护层,显著降低界面阻抗并将电压窗口提升至4.7V以上。基于该电解质开发的软包电池实现了604Wh/kg(1027Wh/L)的世界领先能量密度,满电状态下通过针刺测试,展现出卓越安全性。成果发表于《自然》。
推荐理由:
该成果是我国固态电池领域重要突破,入选央视报道的三大固态电池技术突破之一,获人民日报、科技日报等媒体报道,有助于从根本上解决固态电池卡脖子难题,具有重大科学价值和产业前景。


基于含氟聚醚电解质的8.96Ah软包电池能量密度达604Wh/kg
16
全球野火排放与健康风险预测
深圳国际研究生院郑博团队
成果简介:
全球气候变暖导致极端天气事件频发,野火作为重要的地球环境干扰因子,对全球碳循环、大气化学与气候系统具有重要影响。本成果构建了全球野火排放与大气环境与健康效应一体化评估框架,研发了基于机器学习模型的野火排放预测技术,融合多源遥感观测、再分析资料与地球系统模式模拟数据,引入时空动态驱动因子表征野火发生发展过程多维动态反馈机制,实现对未来不同气候情景下野火发生发展与排放的模拟和归因。进一步结合大气化学传输模型和健康效应评估模型,揭示了气候变化背景下未来全球野火排放的健康和气候效应。成果发表于《自然》。
推荐理由:
生态系统野火事件排放大量温室气体和污染物,严重威胁气候变化和公共健康。该研究拓展了人工智能技术在野火气候环境效应评估中的应用,实现了对未来不同气候情景下野火发生发展与排放的模拟和归因分析,为深入理解气候变化、野火风险与人群健康之间的复杂关联关系提供了关键科学证据。

全球野火排放的健康与气候效应
亮点成果评选活动诚邀大家参加
请扫描以下二维码进行问卷星投票


来源|科研院 文科建设处
清华大学科学技术协会
排版|柳文熙
编辑|王志雄 徐如玉
责编|苑洁
审核|刘蔚如
清华大学版权所有
联系邮箱:thuxwzx@tsinghua.edu.cn
往期精选

点击标题查看原文
点击标题查看原文
点击标题查看原文


喜欢清华,请点👍↗️❤️
内容中包含的图片若涉及版权问题,请及时与我们联系删除


评论
沙发等你来抢