
在心血管疾病(CVDs)成为全球头号健康威胁的背景下,心脏磁共振成像(CMR)作为诊断的“金标准”,其自动化分析的准确性与鲁棒性至关重要。传统的 CMR 挑战赛多聚焦于单序列、单切面或孤立的分割任务,限制了 AI 模型在复杂临床场景中的通用性。

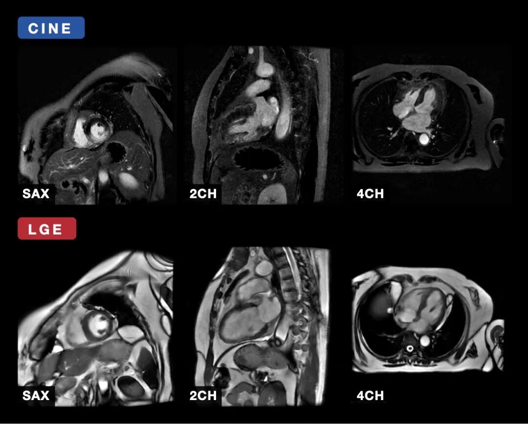
为填补这一空白,北京智源人工智能研究院、北京安贞医院、暨南大学、奥克兰大学及悉尼大学等国际顶尖学术机构联合推出 CMR-Multi Benchmark Challenge。作为大规模、多中心的心脏影像分割挑战赛,它首次统一了 4D Cine (3D+t) 与 延迟强化 (LGE) 序列,涵盖短轴 (SAX)、两腔 (2CH) 及四腔 (4CH) 全视图,并提供心室、心肌、心房及病变疤痕的专家级精准标注 。该挑战赛旨在为心脏数字孪生(Cardiac Digital Twins)和医疗大模型提供底层数据支撑,推动临床可解释、跨平台通用的 AI 技术发展 。
挑战赛主题:从结构分割到功能定量
本届挑战赛依托 第 27 届国际医学图像计算和计算机辅助干预会议(MICCAI 2026) 及 首届医学世界模型研讨会(MWM4MICCAI) 举办 ,重点关注以下核心任务:
任务 1:Cine 多序列分割与壁运动异常分析
利用多序列 Cine 数据,实现左/右心室、心肌、左/右心房的自动分割 。
通过 4D 序列评估区域心肌运动,量化心脏功能-左心室射血分数 。
任务 2:LGE 多序列疤痕分割与定量分析
针对 LGE 序列中的心肌疤痕和房壁结构进行分割 。
精确量化疤痕体积、透壁程度及区域分布,遵循临床心肌梗死及心肌病诊断标准 。
学术价值与奖励激励
挑战赛组委会不仅致力于搭建顶级技术竞技平台,更为优秀团队提供丰厚的学术与经济奖励:
重磅大奖:一等奖奖金 $500,二等奖奖金 $300 x 2,三等奖奖金 $100 x 5
顶刊特刊:表现优秀的算法将被邀请扩展并投稿至 IEEE Transactions on Biomedical Engineering (TBME) 特刊 。
共同署名:所有提交有效结果及技术报告的团队代表,将受邀作为共同作者参与挑战赛总结综述论文,该成果拟发表于 Medical Image Analysis 等领域顶刊 。
时间安排 (Important Dates)
2026年4月10日:训练集发布及注册开启
2026年7月1日:验证集与测试集发布
2026年8月15日:算法提交截止
2026年10月6日:MICCAI 2026 挑战赛研讨会
2026年10月8日:正式公布最终成绩及排名
数据下载
https://huggingface.co/datasets/TaipingQu/CMR-MULTI
相关训练代码
https://github.com/qutaiping/CMR_multi_baseline

立即报名,与全球顶尖 AI 团队同台竞技,共同定义心脏影像分析的未来!
内容中包含的图片若涉及版权问题,请及时与我们联系删除


评论
沙发等你来抢